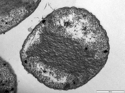
Ammonia oxidizing archaea
In their natural habitats, microorganisms are often exposed to periods of starvation if their substrates for energy generation or other nutrients are limiting. Many microorganisms have developed strategies to adapt to fluctuating nutrients and long-term starvation. In the environment, ammonia oxidizers have to compete with many different organisms for ammonium and are often exposed to long periods of ammonium starvation. We investigated the effect of ammonium starvation on ammonia-oxidizing archaea (AOA) and bacteria (AOB) enriched from freshwater lake sediments. Both AOA and AOB were able to recover even after almost two months of starvation; however, the recovery time differed. AOA and AOB retained their 16S rRNA (ribosomes) throughout the complete starvation period. The AOA retained also a small portion of the mRNA of the ammonia monooxygenase subunit A (amoA) for the complete starvation period. However, after 10 days, no amoA mRNA was detected anymore in the AOB. These results indicate that AOA and AOB are able to survive longer periods of starvation, but might utilize different strategies.
MDPI and ACS Style
French, E.; Bollmann, A. Freshwater Ammonia-Oxidizing Archaea Retain amoA mRNA and 16S rRNA during Ammonia Starvation. Life 2015, , 1396-1404.
View more citation formatsAMA Style
French E, Bollmann A. Freshwater Ammonia-Oxidizing Archaea Retain amoA mRNA and 16S rRNA during Ammonia Starvation. Life. 2015; 5(2):1396-1404.
Chicago/Turabian StyleFrench, Elizabeth; Bollmann, Annette. 2015. "Freshwater Ammonia-Oxidizing Archaea Retain amoA mRNA and 16S rRNA during Ammonia Starvation." Life 5, no. 2: 1396-1404.
Notes: Multiple requests from the same IP address are counted as one view.
No
[Return to top]You might also like


|
codeRed - Reduce Alcohol Flush Reaction, aka Asian Glow (With Antioxidants, NAC, Alpha Lipoic Acid, Hesperidin) Health and Beauty (drinkwel)
|
|
ALDH1A1 (Acetaldehyde Dehydrogenase 1, AHD2, AL1A1, ALDC, Aldehyde Dehydrogenase 1 Family Member A1, Aldehyde Dehydrogenase 1 Soluble, Aldehyde Dehydrogenase 1A1, Aldehyde Dehydrogenase, Aldehyde Dehydrogenase cytosolic, Aldehyde Dehydrogenase Family 1 Member A1, Aldehyde Dehydrogenase liver cytosolic, ALDH 1, ALDH 1A1, ALDH class 1, ALDH-E1, ALDH1 A1, ALDH1, ALDH11, ALDH1A1, ALHDII, cytosolic, MGC2318, PUMB1, RALDH 1, RalDH1, Retinal Dehydrogenase 1) BISS (United States Biological)
|
|
Headspace gas chromatographic determination of ethanol: The use of factorial design to study effects of blood storage and headspace conditions on ... article from: Forensic Science International Book (Elsevier) |
|
|
Scandia Moss 'SM Panel' Deodorizing DIY Panel : Air Freshener - Oxidation - Air Sanitizer : Removes Harmful Substances Single Detail Page Misc (Teraria Co. LTD.)
|
|
Evaluation of isoprene degradation in the detailed tropospheric chemical mechanism, MCM v3, using environmental chamber data [An article from: Atmospheric Environment] Book (Elsevier) |





